Composite Bonding in Halesworth: Costs, Benefits & What to Expect
- Lisa Davies
- 7 days ago
- 3 min read
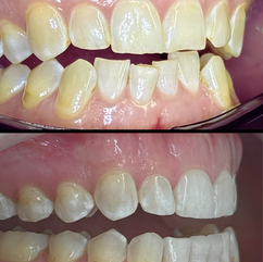
Composite bonding has become one of the most popular cosmetic treatments for adults who want a natural, balanced, confident smile without drilling or damaging their teeth. It’s quick, minimally invasive and often completed in a single visit — which is why so many patients across Halesworth, Bungay, Beccles, Southwold, Lowestoft, Leiston and South Norfolk choose it as an alternative to veneers.
If you’re considering composite bonding, here’s everything you need to know about the process, costs, benefits and what results you can expect.
What is composite bonding?
Composite bonding uses a tooth‑coloured resin to reshape, rebuild or enhance the appearance of your teeth. It’s ideal for improving:
Small chips or cracks
Uneven edges
Gaps between teeth
Discolouration
Worn or short teeth
Minor misalignment
Asymmetry in the smile
The material is sculpted directly onto the tooth and polished to a natural, lifelike finish.
Why composite bonding is so popular
Composite bonding is one of the most versatile cosmetic treatments because it offers:
1. No drilling or damage to teeth
The natural tooth structure remains intact — no enamel removal is needed.
2. Instant results
Most cases are completed in one appointment, making it perfect for fast smile improvements.
3. Natural, subtle enhancements
The resin is colour‑matched and shaped to blend seamlessly with your existing teeth.
4. Affordable compared to veneers
Bonding offers a cosmetic upgrade at a lower cost than porcelain veneers.
5. Reversible and adjustable
Because the tooth isn’t altered, bonding can be refined or replaced in the future.

What happens during composite bonding at JD Dentistry?
1. Consultation and digital assessment
We begin with a detailed examination and digital photography to analyse your smile proportions, symmetry and goals.
2. Shade matching
We select a resin shade that blends naturally with your teeth for a seamless finish.
3. Sculpting and shaping
The composite material is applied in layers and artistically shaped to enhance the tooth’s form.
4. Hardening and polishing
A curing light sets the resin, and the tooth is polished to a smooth, glossy, enamel‑like finish.
5. Final checks
We assess your bite, symmetry and overall smile balance to ensure everything looks and feels perfect.
Most appointments take 60–120 minutes, depending on how many teeth are being treated.
How long does composite bonding last?
With good care, composite bonding typically lasts 3–7 years, depending on:
Oral hygiene
Diet (tea, coffee, red wine)
Grinding or clenching
Smoking
Regular dental maintenance
Bonding can be easily repaired or refreshed over time.
How much does composite bonding cost in Suffolk?
Costs vary depending on the number of teeth treated and the complexity of the case. At JD Dentistry, we provide:
Clear, transparent pricing
No‑pressure consultations
Options to combine bonding with whitening or Invisalign for enhanced results
Most patients choose bonding as part of a smile makeover, especially after whitening or Invisalign. Read our blog post on Composite Bonding Costs to learn more.
Composite bonding vs veneers: which is right for you?
Composite bonding is ideal for:
Subtle enhancements
Minor shape changes
Closing small gaps
Budget‑friendly improvements
Patients wanting a reversible option
Porcelain veneers are better for:
Major shape changes
Severe discolouration
Long‑term durability
Full smile transformations
We’ll guide you through both options during your consultation.
To learn more about veneers visit our blog post here.
Why patients travel to Halesworth for composite bonding
Patients from Bungay, Beccles, Lowestoft, Leiston, Harleston, Southwold and South Norfolk choose JD Dentistry because we offer:
Artistic, natural‑looking results
Minimally invasive techniques
Digital smile planning
A calm, modern, patient‑centred experience
Honest, transparent advice
Your bonding is crafted with precision to enhance your smile while keeping your teeth healthy and intact.

Book your composite bonding consultation in Halesworth
If you’re considering composite bonding and want natural, subtle, beautifully balanced results, we’d love to help.
Book your consultation at JD Dentistry in Halesworth and discover how composite bonding can transform your smile in just one visit.

















Comments